Во время УЗИ на профосмотре перед трудоустройством врачи обнаружили у 17-летнего жителя Новосибирска гидронефроз почки — критическое состояние, которое в любой момент могло привести к летальному исходу, сообщает пресс-служба регионального Минздрава.
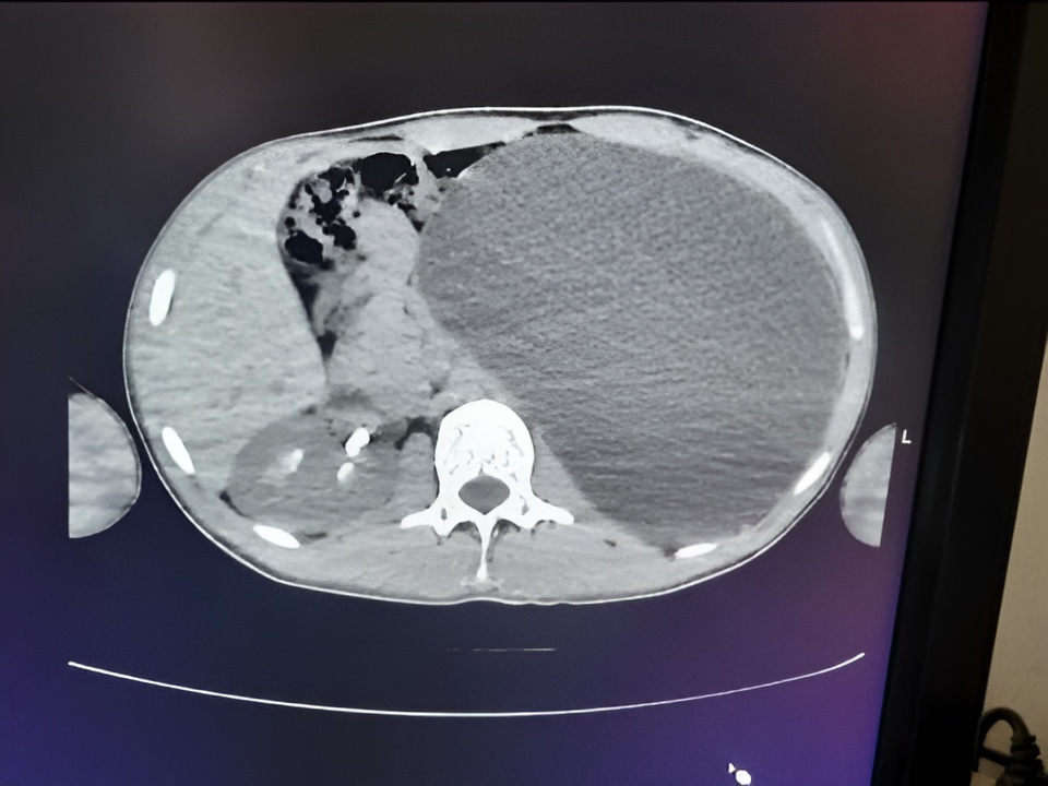
Юноша чувствовал себя абсолютно здоровым и никогда не предъявлял жалоб на мочевыделительную систему. Однако диагностика выявила страшную патологию: почка пациента достигла размеров пятилитровой бутылки и занимала практически всю брюшную полость, сдавливая соседние органы.
«Это была настоящая бомба замедленного действия, — подчеркнули в пресс-службе Детской городской клинической больницы № 1. — Любая травма, неосторожный удар в живот — и орган мог разорваться, что привело бы к внутреннему кровотечению и гибели пациента».
Хирурги провели экстренную операцию. Через четыре миниатюрных прокола врачи эвакуировали скопившуюся жидкость, после чего удалили необратимо поврежденную почку. В настоящее время пациент чувствует себя удовлетворительно и идет на поправку.
Ранее мы писали о том, что новосибирские нейрохирурги удалили опухоль мозга 81-летней пациентке
ИА Сибинформ
